Casuïstiek
Het post-trepanatiesyndroom is een vaak gemist maar behandelbaar fenomeen waarbij neurologisch herstel onverwacht stokt. Hoewel het na een decompressieve craniëctomie bij een aanzienlijke groep patiënten voorkomt, wordt het syndroom nog altijd ondergerapporteerd. Door tijdige herkenning kan onnodige vertraging in de revalidatie worden voorkomen. In dit artikel illustreren we dit aan de hand van een casus.
Auteurs
DRS. B.D.E. (BEAU) JANSSEN
Anios revalidatiegeneeskunde, UMC Utrecht
DR. J.A. ( JORIS) DE GRAAF
Revalidatiearts en clinical scientist, UMC Utrecht
DRS. E.M. (EEFJE) KLEIN KRANENBARG
Aios revalidatiegeneeskunde, De Hoogstraat revalidatie
DR. W.B.M. (WILLEM-BART) SLOOFF
Neurochirurg, UMC Utrecht
PROF. DR. J.M.A. (ANNE) VISSER-MEILY
Revalidatiearts en hoogleraar, UMC Utrecht
CASUS
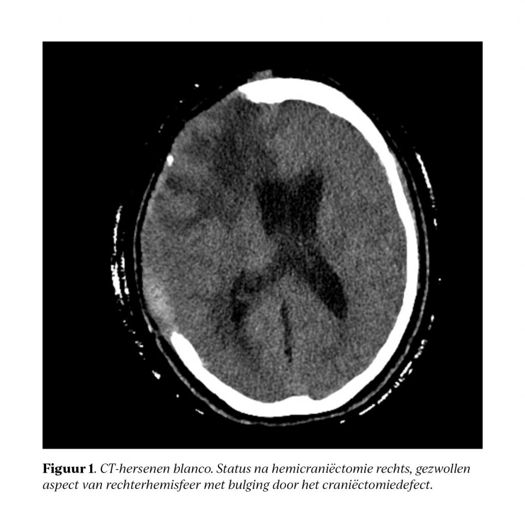
In de kliniek zagen wij een 47-jarige vrouw zonder relevante voorgeschiedenis, die na een auto-ongeluk ernstig schedel- en hersenletsel opliep. Zij onderging onder meer een decompressieve craniëctomie rechts en werd na een IC-opname van ruim een maand overgeplaatst naar de verpleegafdeling van de Neurologie.
De revalidatiegeneeskunde werd betrokken om een passende revalidatiebehandeling binnen het ziekenhuis op te zetten en ook een passend vervolgtraject te bepalen. Bij eerste beoordeling zagen wij een vrouw met een schedeldefect die te wekken was op aanspreken, met een hypertone hemiparalyse aan de linkerzijde, gestoorde zitbalans en nauwelijks spontane spraak. Zij voerde eenvoudige opdrachten uit en communiceerde voornamelijk met gebaren. Multidisciplinaire revalidatie werd opgestart en ondanks haar initieel beperkte belastbaarheid werd gekozen voor klinische revalidatie binnen de medisch-specialistische revalidatie (IMSR). Gedurende klinische revalidatie verliep het herstel moeizaam, en na ongeveer een maand trad zelfs duidelijke achteruitgang op in haar functioneren: gedragsverandering, cognitieve achteruitgang, visuele hallucinaties en wanen, weigeren van medicatie/voeding, en zichtbaar ingevallen huid bij de botlap. Er werd overlegd met de neurochirurg met verzoek patiënte aan te melden voor cranioplastiek vanwege een vermoeden op het post-trepanatiesyndroom. Differentiaal diagnostisch werd een delirant beeld overwogen bij verminderde voedingsstatus, verstoord slaapritme, dan wel onderliggend lijden. Patiënte werd ingestuurd naar de SEH, alwaar ander onderliggend somatisch lijden werd uitgesloten. Hiermee werd het post-trepanatiesyndroom waarschijnlijker geacht.

Beschouwing
Het post-trepanatiesyndroom (syndrome of the trephined, in de literatuur ook wel sunken skin flap syndrome of sinking skin flap syndromegenoemd) wordt gekenmerkt door stagnatie of verslechtering van neurologisch herstel bij patiënten die een craniëctomie hebben ondergaan. Om van post-trepanatiesyndroom te kunnen spreken moeten symptomen weer verbeteren na het uitvoeren van een cranioplastiek. Het klinisch beeld is wisselend en kan bestaan uit sensomotorisch achteruitgang, fatische stoornissen, bewustzijnsstoornissen, insulten, cognitieve klachten, psychische klachten, hoofdpijn en duizeligheid.1
Naast klinische achteruitgang kunnen een ingevallen botlap (sunken skin flap) en radiologische verschijnselen (bijvoorbeeld een paradoxale midline shift of paradoxale herniatie) de diagnose ondersteunen. De ingevallen botlap is echter niet altijd aanwezig, en deze radiologische verschijnselen kunnen ook bij andere aandoeningen voorkomen.2 Het brede en aspecifieke klachtenpatroon maakt het syndroom lastig te herkennen, waardoor het waarschijnlijk ondergerapporteerd is.3
De onderliggende pathofysiologie van het post-trepanatiesyndroom is nog niet volledig opgehelderd. Mogelijke mechanismen zijn veranderingen in intracraniële druk, mechanische compressie door de sunken skin flap, verminderde cerebrale perfusie, verstoring van de liquorcirculatie en metabole veranderingen van de liquor.2,3
De behandeling bestaat uit het terugplaatsen van de botlap door middel van een cranioplastiek. Het optimale moment hiervoor is vaak onderwerp van discussie. Bij de afweging spelen meerdere factoren een rol, zoals de neurologische toestand, aanwezigheid van cerebraal oedeem en postoperatieve status van het operatiegebied. Daarnaast zijn er ook administratieve en logistieke zaken die meespelen in de planning van een cranioplastiek. Bijvoorbeeld de levertijd van een op maat gemaakt implantaat, wat nodig is wanneer het schedeldak van de patiënt zelf niet meer teruggeplaatst kan worden, zoals wanneer deze verbrijzeld is door trauma.4 Te vroege cranioplastiek kan het risico op complicaties zoals wondinfecties verhogen. Tegelijkertijd pleiten recente studies ervoor om de ingreep juist zo vroeg mogelijk te verrichten. Vroege cranioplastiek lijkt het risico op post-trepanatiesyndroom te verkleinen en de neurologische uitkomsten te verbeteren, waarbij verbetering vaak al binnen enkele dagen na de ingreep zichtbaar is.3
VERVOLG CASUS
Voordat electief geplande cranioplastiek kon plaatsvinden werd patiënte opnieuw opgenomen in het ziekenhuis in verband met een focale status epilepticus. De geplande cranioplastiek,, waarbij er een op maat gemaakt bioactief implantaat over het schedeldefect werd geplaatst (GLACE-plastiek), verliep ongecompliceerd. Postoperatief viel op dat patiënte zelf de wens uitsprak tot mobiliseren en de orale intake kon langzaam opgestart worden. Patiënte ging een week postoperatief retour naar de klinische IMSR. Zij was bij terugkeer meer alert, inhoudelijk adequater in gesprekvoering en coöperatief tijdens de zorgmomenten. Visuele hallucinaties en wanen waren in mindere mate aanwezig.
Adviezen
Wees alert op post-trepanatiesyndroom bij patiënten die een craniëctomie hebben ondergaan en tijdens de revalidatie onvoldoende vooruitgang of zelfs achteruitgang laten zien in de periode vóór het plaatsvinden van de cranioplastiek. Het revalidatieteam speelt een sleutelrol in het signaleren van het syndroom door alert te zijn op veranderingen in motoriek, cognitie of gedrag. Laagdrempelig contact met de behandelend neurochirurg is essentieel om andere oorzaken van neurologische achteruitgang uit te sluiten (zoals hydrocefalus, epilepsie, infectie, herseninfarct/bloeding), de diagnose post-trepanatiesyndroom te bevestigen en de beste timing voor het uitvoeren van de cranioplastiek te bepalen.
Referenties
- Sveikata L, Vasung L, el Rahal A, Bartoli A, Bretzner M, Schaller K, Schnider A, Leemann B. Syndrome of the trephined clinical spectrum, risk factors, and impact of cranioplasty on neurologic recovery in a prospective cohort. Neurosurgical Review 2022;45(2):1431-43. https://doi.org/10.1007/s10143-021-01655-6
- Diaz-Segarra N, Jasey N. Improved rehabilitation efficiency after cranioplasty in patients with sunken skin flap syndrome: a case series. Brain Injury 2024;38(2):61-7. https://doi.org/10.1080/02699052.2024.2309261
- Ashayeri K, Jackson EM, Huang J, Brem H, Gordon, CR. Syndrome of the trephined: A Systematic Review. Neurosurgery 2016;79(4):525-33. https://doi.org/10.1227/NEU.0000000000001366
- Tomar K, Roy ID, Kumar Singh A, Yadav rekha, chintamani. Role of timing of cranioplasty in improving Neurological functional outcome. British Journal of Oral and Maxillofacial Surgery 2024;62(10):944-9. https://doi.org/10.1016/j.bjoms.2024.07.003
Trefwoorden: Post-trepanatiesyndroom; Craniëctomie; Cranioplastiek; Stagnerend herstel
Gerelateerde artikelen NTR
Participatie bij volwassenen met communicatieproblemen
Stagnerende revalidatie na craniëctomie: denk aan het post-trepanatiesyndroom
Aanhoudende klachten na licht traumatisch hoofd/hersenletsel
Hoge prevalentie slapeloosheid bij hersenletsel vraagt om effectieve behandeling
Gerelateerde artikelen Revalidatie Magazine
‘Niet langer het kleine broertje’
Leer en Innovatie Team maakt revalidatiesector aantrekkelijker voor studenten
Ouders van Pleun: ‘Een goed gevoel komt door de kleine dingen’