Kort en intensief behandelen in plaats van langlopend en laagintensief. Die aanpak levert, zeggen de organisatoren van een pilot-behandelkamp van Adelante in Valkenburg, jongeren veel op. Zóveel dat het een weerkerend programma wordt. Eugène Rameckers, fysiotherapeut en onderzoeker bij Adelante, was een van de organisatoren van de pilot. Hij licht toe.

Waaruit bestond het pilotproject?

‘Uit drie weken interne behandeling met veel therapie, sport en spel, onder de titel FitCare4U. Waarbij ‘Fit’ staat voor functionele intensieve therapie. We hadden acht deelnemers tussen de elf en achttien jaar: zes met cerebrale parese, één met spina bifida en één met een verworven hersenletsel. Alle jongeren hadden duidelijke problemen op motorisch vlak, redzaamheid en een geringe mobiliteit. We hebben ze een intensief programma aangeboden. ‘s Ochtends gewoon onderwijs op de mytylschool van Adelante, twee uur per dag oefenen naar aanleiding van de in kaart gebrachte individuele hulpvragen, conditie- en vaardigheidstesten en daarnaast een breed activiteitenprogramma. Survivalactiviteiten, sporten, knutselen, rij- en wandeltochten, handbiken, maar ook transfers naar zitten en staan. Waar mogelijk zonder hulpmiddelen. In drie dagen bouwden we het rolstoelgebruik zoveel mogelijk af en leerden de jongeren actief zitten in een stoel zonder rugleuning of op een grote bal. We kookten samen, dat was óók therapie natuurlijk, het programma liep door tot negen uur ‘s avonds en dan naar bed.

De jongeren sliepen bij ons op het terrein in aangepaste vakantiewoningen. In die drie weken ontvingen de deelnemers zo’n negentig uur training.’

Wat leverde dit op?

‘Een enorme boost voor de zelfredzaamheid en spectaculaire resultaten. Een behandeling die in drie weken tijd bij meerdere jongeren een verdubbeling opleverde van de prestaties op mobiliteitstesten en conditiegerichte activiteiten. En een heel goede sfeer! Het op deze manier samenzijn was productief maar ook zó leuk. We hebben de ouders actief betrokken omdat zij een sleutelrol vervullen. Veel ouders konden eerst niet geloven hoeveel hun kind zélf blijkt te kunnen. Wij lieten dat zien en spoorden ze aan om daar thuis mee door te gaan. Bijvoorbeeld door erop te letten dat hun kind actief in een stoel blijft zitten, en niet onderuit gaat hangen in de rolstoel.’

Welke hulpverleners waren bij de begeleiding betrokken? 

‘Zoals vaker voorkomt bij jongeren met een beperking, hadden de deelnemers bijna geen ervaring met ergens anders slapen en hadden ze een zekere medische zorg nodig. Voor de nacht hebben we daartoe wijkzorg ingekocht. Ook waren er een paar vrijwilligers, studenten fysio- en ergotherapie en bewegingswetenschappen, voor de continubegeleiding en als contactpersoon voor de jongeren. Mijn collega Marcel Coenen, voor de organisatie van de randvoorwaarden, ikzelf voor de inhoud van het programma, en verder een uitgebreid team. We hielpen allemaal mee met de pedagogisch medewerkers bij het opstaan ‘s ochtends. De behandeling werd gedaan door een fysio- en ergotherapeut, docent bewegingsonderwijs en trainers. Een revalidatiearts was stand-by. Die is niet nodig geweest, maar we moesten de medische zorg natuurlijk garanderen. We hadden verder de beschikking over een psycholoog, die ook de ouders en jongeren kon begeleiden. Dat is drie keer nodig geweest, en dan vooral bij de vreugdetranen.’

Hoe zijn jullie tot dit project gekomen?

‘Al acht jaar geleden is Adelante begonnen met survivalkampen voor kinderen met een verlamming aan een arm. Samen met de Universiteit van Colombia en de Franstalige Universiteit van Leuven is dat programma telkens vernieuwd. Drie jaar terug zagen we een case study uit New York van een meisje met ernstige motorische problemen, dat dankzij een kortlopend intensief programma grote winst had geboekt en een jaar later nog steeds zonder looprek kon lopen. Daar is, ook in New York, een randomized controlled onderzoek uit voortgekomen bij een groep van twee maal vier kinderen, die na drie maanden is geëvalueerd en nu wordt omgezet in een publicatie. Het enige nadeel is dat het nog gaat om een kleine onderzoeksgroep. Onze conclusie is dat het intensieve programma beslist meer effect heeft, maar dit moet wetenschappelijk nog verder worden onderbouwd. Wij passen het bij Adelante nu al toe, omdat we zien hoe goed het werkt in de Nederlandse revalidatie.’

U ziet dat het werkt, maar in hoeverre zal de vooruitgang beklijven?

‘Het ligt voor de hand dat er terugloop is als een intensieve training stopt. Maar we zijn ervan overtuigd dat het motorisch niveau en de conditie van de deelnemers boven het beginniveau zal blijven. Dat gaan we nu meten. Meerwaarde zit natuurlijk ook in het feit dat de deelnemers zelf hebben gezien wat ze binnen korte tijd kunnen bereiken. Mijn visie is dat je beter twee keer per jaar een dergelijke korte intensieve training kunt aanbieden, en dat gaan we nu ook doen, dan door te gaan met een training van een of twee keer per week. De langdurige aanpak is als een kabbelend riviertje. Bij kort en intensief worden de sluizen opengezet. De korte intensieve aanpak is overigens wereldwijd op allerlei terreinen gaande. Dat gebeurt bijvoorbeeld ook met rijlessen: je kunt leren autorijden door gedurende een afgebakende periode elke dag te lessen. Maar je moet het daarna wél blijven toepassen. Dat geldt bij onze training ook en daarom is het zo belangrijk dat ouders betrokken worden. Zij kunnen er thuis op letten dat hun kind actief toepast wat hij tijdens ons kamp heeft geleerd.’

Wie betaalt deelname aan de kampen en wat zijn de toekomstplannen?

‘FitCare4U is een revalidatieproduct, dus de verzekering betaalt na doorverwijzing door een revalidatiearts. We willen het programma nu aanbieden aan het hele land, in eerste instantie nog voor jongeren, maar het kan breder worden ingezet en overal worden toegepast. Bij ons in Valkenburg is de mooie natuur wel een plus voor de survival-activiteiten.’

Ouders en jongeren kunnen zich, na overleg met hun therapeut en revalidatiearts, aanmelden via de website van Adelante.


Gerelateerde artikelen Revalidatie Magazine

Blogger Yvette geeft weer betekenis aan de levens van revalidanten

De bloggers van Revalidatie Magazine zetten aan tot nadenken en discussie. In een serie interviews zetten we hen in de…

Revalideren in virtual reality? Ook met hersenletsel kan dat op een veilige manier

Revalidatieprofessionals zetten steeds vaker Virtual Reality in. Revalidanten kunnen dan in een veilige, stimulerende omgeving doelgericht trainen voor de ‘echte’…

Leer en Innovatie Team maakt revalidatiesector aantrekkelijker voor studenten

Op de afdeling Neurorevalidatie van de Sint Maartenskliniek dragen studenten van de HAN University of Applied Sciences en studenten van…

Gerelateerde artikelen Nederlands Tijdschrift voor Revalidatiegeneeskunde

Cryoneurolyse, een ijskoude aanpak tegen spasticiteit

Casuïstiek Cryoneurolyse kan een veilig, minimaal invasief alternatief bieden voor de behandeling van spasticiteit, wanneer een botulinetoxinebehandeling onvoldoende effect heeft…

Vertaling van de classificatie voor musculoskeletale pathologie bij kinderen met cerebrale parese

Een gestandaardiseerde, duidelijk beschreven indeling van het ontwikkelen van musculoskeletale pathologie (MSP) bij kinderen met cerebrale parese (CP) biedt handvatten…

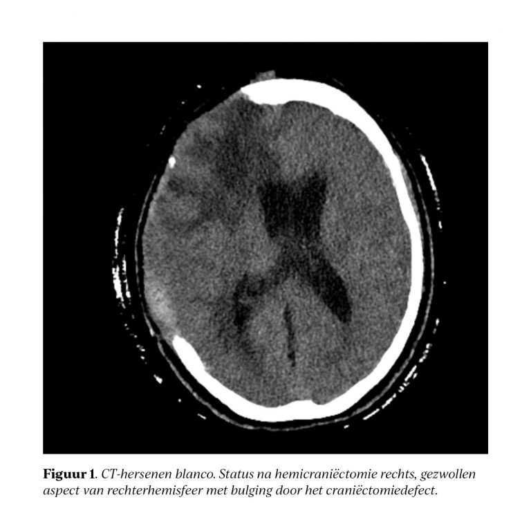
Stagnerende revalidatie na craniëctomie: denk aan het post-trepanatiesyndroom

Casuïstiek Het post-trepanatiesyndroom is een vaak gemist maar behandelbaar fenomeen waarbij neurologisch herstel onverwacht stokt. Hoewel het na een decompressieve…